Feed
Library
Learning
Discuss
Leaderboard
Journal
Sign in
Login
Sign up
Sign in
Feed
Library
Learning
Discuss
Leaderboard
Journal
Dr. Komal Agarwal
almost 8 years ago
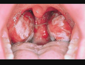
Infections mononucleosis
Medicine
Medstudent
Learning Materials
Medlife
15
2
3
Top rated comment
Gopichand Bandi
almost 8 years ago
tonsillitis
2
Reply
Other comments
Sign in
to post comments. You don't have an account?
Sign up now!
Fatima
almost 8 years ago
What are the remedies for vaginal yeast infection and is it harmful ,please reply!!!
0
Reply
Related posts
Breastfeeding and Medications II
Urinary Tract Infection
Serotonin Syndrome
Medicines for Weightless II
Calcium Channel Blockers- Mnemonics
Glasgow Coma Scale- An Example
Classification of Periodontal Pocket
Effects of sugar on teeth
Neurofibromatosis
Bird Beak Sign
Recent MCQs
Show more MCQs
Recent flashcard sets
Show more flashcards
Feed
Learn
Add
Search
Discuss