Feed
Library
Learning
Discuss
Leaderboard
Journal
Sign in
Login
Sign up
Sign in
Feed
Library
Learning
Discuss
Leaderboard
Journal
Dr.FS
over 6 years ago
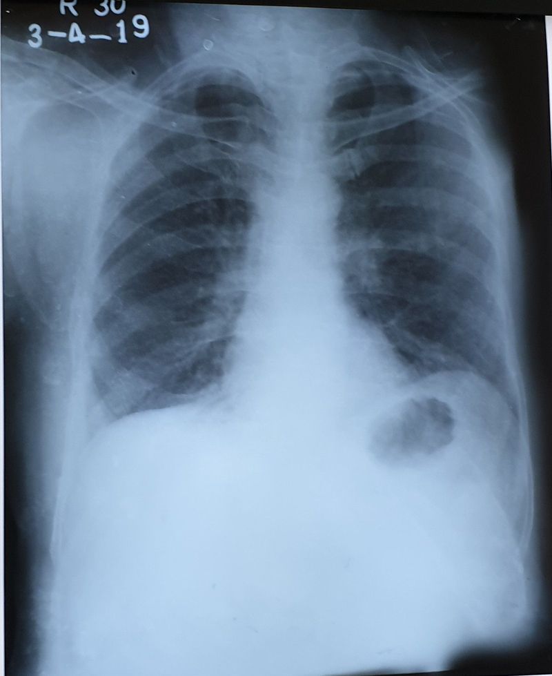
What's your diagnose ?
Medicine
Medstudent
Medical
Diagnosis
Cardiology
show 5 more
15
5
5
Top rated comment
A
AbaTher
over 6 years ago
Spleenomegaly?🤔
2
Reply
Other comments
Sign in
to post comments. You don't have an account?
Sign up now!
Murad
over 6 years ago
Cancer of stomach? Or Hernia
0
Reply
MN
Macherla Neelima
over 6 years ago
Rib Fracture??
0
Reply
Xonzoda
over 6 years ago
Cancer?!
0
Reply
FGer
over 6 years ago
Left diaphragmatic hernia
0
Reply
Related posts
Acne
Neurofibromatosis
Lactose Intolerance Diagnosis
VRF Diagnosis
Premature Ventricular Complexes (PVCs)
Tachycardia
Supraventricular Tachycardia
Supraventricular tachycardia- Diagnosis
Patent Ductus Arteriosus- Symptoms
Atrial Septal Defect- Diagnosis
Recent MCQs
‌
‌
‌
‌
‌
‌
‌
‌
‌
‌
Show more MCQs
Recent flashcard sets
‌
‌
‌
‌
‌
‌
‌
‌
‌
‌
Show more flashcards
Feed
Learn
Add
Search
Discuss