MEDizzy
MEDizzy
Dr. Pratik Jasani
Dr. Pratik Jasanialmost 8 years ago
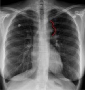
Guess the diagnosis doctorss ?? πŸ€”πŸ€”

Guess the diagnosis doctorss ?? πŸ€”πŸ€”

39
Top rated comment
almost 8 years ago

Coarctation of the aorta

almost 8 years ago

Yeah correct πŸ™Œ

Other commentsSign in to post comments. You don't have an account? Sign up now!
almost 8 years ago

Ascaris lumbricoides

almost 8 years ago

Its coarctation of aorta

almost 8 years ago

What is the ans

almost 8 years ago

Coarctation of aorta

almost 8 years ago

Yeah correct πŸ‘πŸ‘

over 7 years ago

Coarctation of aorta

Recent MCQs

β€Œ
β€Œ

β€Œ
β€Œ

β€Œ
β€Œ

β€Œ
β€Œ

β€Œ
β€Œ
Show more MCQs

Recent flashcard sets

β€Œ
β€Œ

β€Œ
β€Œ

β€Œ
β€Œ

β€Œ
β€Œ

β€Œ
β€Œ
Show more flashcards