Feed
Library
Learning
Discuss
Leaderboard
Journal
Sign in
Login
Sign up
Sign in
Feed
Library
Learning
Discuss
Leaderboard
Journal
l
lucius346
almost 8 years ago
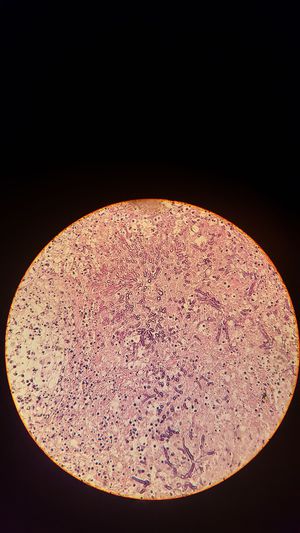
Aspergillosis
Infection
Histology
Histopathology
Microscopy
Fungi
show 2 more
2
0
0
Other comments
Sign in
to post comments. You don't have an account?
Sign up now!
Related posts
Early interproximal caries.
Early interproximal caries
Caries of dentine
A translucent zone
Gingival fibromatosis.
Gingival fibromatosis
Paths of infection spread from lower molars.
Dentigerous cyst.
Dentigerous cyst.
Sarcoidosis
Recent MCQs
Show more MCQs
Recent flashcard sets
Show more flashcards
Feed
Learn
Add
Search
Discuss