MEDizzy
MEDizzy
HB
Himanshu Bhardwajover 6 years ago
Diagosis ?

Diagosis ?

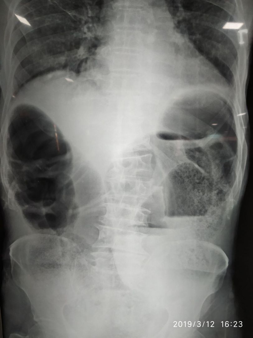
60 years male presented with Sudden onset of abdominal pain since 1 day , associated with not passing stool and urine.

539
Other commentsSign in to post comments. You don't have an account? Sign up now!
over 6 years ago

Large bowel obstruction

over 6 years ago

large bowel edema ???

over 6 years ago

Bowel obstruction (ileus)

over 6 years ago

I'm thinking on sigmoid volvulus.

over 6 years ago

Large bowel obstruction (hydroaeric levels). Scoliosis in the lombar region.

over 6 years ago

Sigmoid volvulus

Recent MCQs















Show more MCQs

Recent flashcard sets















Show more flashcards