
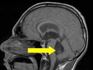
The Bruns syndrome is an unusual phenomenon, characterized by attacks of sudden and severe headache, vomiting and vertigo, triggered by abrupt movement of the head. The presumptive cause of the Bruns syndrome is a mobile deformable intraventricular lesion leading to an episodic obstructive hydrocephalus resulted from an intermittent or positional CSF obstruction with elevation of intracranial pressure due to a ball-valve mechanism. Although the old neurological literature recognized tumors as well as neurocysticercosis as causes of the Bruns syndrome, during the last 60 years only intraventricular neurocysticercosis was reported to cause this symptom-complex. Relapsing attacks of headache, vertigo, nausea, vomiting, and ataxia provoked by head rotation corresponding to the classical Bruns syndrome.