Feed
Library
Learning
Discuss
Leaderboard
Journal
Sign in
Login
Sign up
Sign in
Feed
Library
Learning
Discuss
Leaderboard
Journal
مصدق ابن جميل. Mussadiq dr
almost 7 years ago
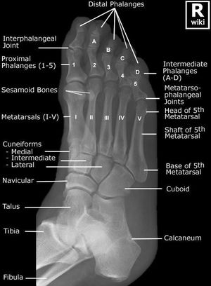
How to study x ray foot
Medstudent
Learning
Xray
10
0
10
Other comments
Sign in
to post comments. You don't have an account?
Sign up now!
Related posts
Complications of xerostomia
Knee Ligament Tests
Ventricular Arrhythmia
What is Fainting?
USMLE-2 CK
Atherosclerosis
Heart Wall
Hypertension
Atrial Septal Defect
Rabies
Recent MCQs
Show more MCQs
Recent flashcard sets
Show more flashcards
Feed
Learn
Add
Search
Discuss