Feed
Library
Learning
Discuss
Leaderboard
Journal
Sign in
Login
Sign up
Sign in
Feed
Library
Learning
Discuss
Leaderboard
Journal
Drilon Alla
about 7 years ago
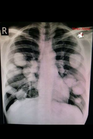
Guess Diagnosis ?!
Diagnosis
Thorax
Rtg
2
3
0
Other comments
Sign in
to post comments. You don't have an account?
Sign up now!
Sable
about 7 years ago
I will take a stab at this, Tuberculosis
0
Reply
S
Sarah
about 7 years ago
CF? Fibrous growth
0
Reply
DS
Doctor Shakyhands
about 7 years ago
Canon ball secondaries- choriocarcinoma
0
Reply
Related posts
Effects of sugar on teeth
Principles of investigation and diagnosis
Immunostaining diagnosis
Immunostaining diagnosis
Lactose Intolerance Diagnosis
VRF Diagnosis
Supraventricular tachycardia- Diagnosis
Atrial Septal Defect- Diagnosis
Acute Abdomen Differential Diagnosis
https://www.facebook.com/StableGripSafetyBarOfficial/
Recent MCQs
Show more MCQs
Recent flashcard sets
Show more flashcards
Feed
Learn
Add
Search
Discuss