MEDizzy
MEDizzy
h
hopealmost 7 years ago
any ideas on what this is?

any ideas on what this is?

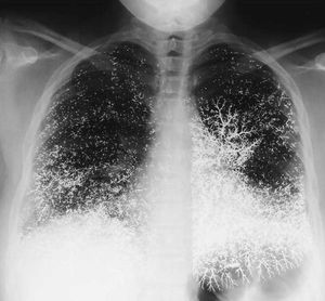
This is what happened to a patient when 10ml of elemental mercury what injected into them. What should they do?

531
Other commentsSign in to post comments. You don't have an account? Sign up now!

Recent MCQs















Show more MCQs

Recent flashcard sets















Show more flashcards