
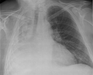
the collapse or closure of a lung resulting in reduced or absent gas exchange. It may affect part or all of a lung. It is usually unilateral. It is a condition where the alveoli are deflated down to little or no volume, as distinct from pulmonary consolidation, in which they are filled with liquid. 1.atelectasis 2.bronchectasis. ??
Which type of atelectasis is this? Compression ,resorption or fibrosis?