
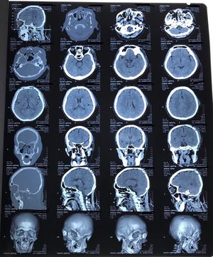
A 54-year-old man, pedicab driver, was hit from behind by a car while riding a pedicab. He had a multiple vulnus appertum at his scalp, face, and left arm. He had no loss of consciousness, no vomiting, no nausea. Rhinorrhea +/+, otorrhea -/-. GCS E4V5M6, BP 110/70, HR 67 bpm, RR 16 bpm, temp 36,7 degrees celsius. His neurologic examination, including memory, is normal. His head CT is shown above. Can you see fracture on that head CT?
Fracture seen in lt maxila ( anterior and medial wall)