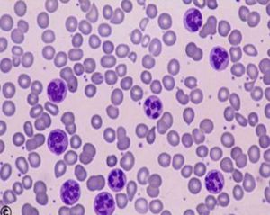
Megaloblastic anemia. Hypersegmented nucleus in neutrophils.
IDA...bcoz blood smear shows microcytic rbc( normally neutrophils are smaller than rbc).....is this answer correct?
Thalassemia? Tear drop cell + microcytic hypochromic
Hypersegmented neutrophils
You notice the tear drop cells? Sign of thalassemia!
I think megaloblastic anemia
Target cell are present, pallor at 1/3 of RBC, tear shape , microcytic