MEDizzy
MEDizzy
Asawer Abbas
Asawer Abbasalmost 7 years ago
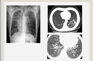
Diagnosis??

Diagnosis??

7
Other commentsSign in to post comments. You don't have an account? Sign up now!
almost 7 years ago

tuberculosis

almost 7 years ago

Tuberculosis

almost 7 years ago

No it is bronchiectasis look to hony comb appearance

almost 7 years ago

Tuberculosis-...

almost 7 years ago

No it is bronchiectasis look to hony comb appearanc

Recent MCQs















Show more MCQs

Recent flashcard sets















Show more flashcards