MEDizzy
MEDizzy
Audrey, MD
Audrey, MDalmost 7 years ago
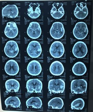
Head CT of patient with moderate head injury

Head CT of patient with moderate head injury

What are abnormal findings can be found in that CT?

14
Top rated comment
almost 7 years ago

SAH, ICH MCA territory , no IVH

Other commentsSign in to post comments. You don't have an account? Sign up now!
almost 7 years ago

sah, ich mca territory. hu? neoplasia? + old infark

almost 7 years ago

SAH with Intra ventricular extension. ICH

Recent MCQs















Show more MCQs

Recent flashcard sets















Show more flashcards