MEDizzy
MEDizzy
Dr. Fatemeh Kourkinejad
Dr. Fatemeh Kourkinejadalmost 7 years ago
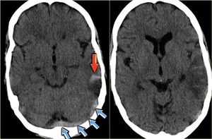
What is your diagnosis?

What is your diagnosis?

5
Top rated comment
almost 7 years ago

Epidural hemoragic

almost 7 years ago

Any chance of venous thrombosis?

Other commentsSign in to post comments. You don't have an account? Sign up now!
almost 7 years ago

Hello! What's diagnosis?

almost 7 years ago

Epidural hematoma can cause lucid interval, hypertension and bradycardia but doesn't causes venous thrombosis as its bleeding from artery and is increasing pressure outside.

almost 7 years ago

It is a concave shaped lesion which is due to artery rupture leading to EDH. I think so!

almost 7 years ago

It is SDH and CVT (mixed)

Recent MCQs















Show more MCQs

Recent flashcard sets















Show more flashcards