Feed
Library
Learning
Discuss
Leaderboard
Journal
Sign in
Login
Sign up
Sign in
Feed
Library
Learning
Discuss
Leaderboard
Journal
Mohammed Shah Alam
almost 2 years ago
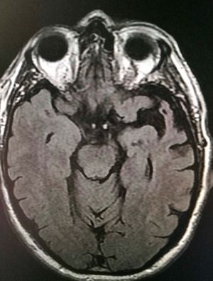
Imaging for brain
Semantic dementia , carefully evaluate the both hemisphere
Medstudent
Learning Materials
Followme
22
0
5
Other comments
Sign in
to post comments. You don't have an account?
Sign up now!
Related posts
Antihypertensives
Drug Safety Alerts- Other
Urinary Tract Infection
Serotonin Syndrome
Medicines for Weightless II
Calcium Channel Blockers- Mnemonics
Glasgow Coma Scale- An Example
Classification of Periodontal Pocket
Effects of sugar on teeth
Bird Beak Sign
Recent MCQs
Show more MCQs
Recent flashcard sets
Show more flashcards
Feed
Learn
Add
Search
Discuss