Feed
Library
Learning
Discuss
Leaderboard
Journal
Sign in
Login
Sign up
Sign in
Feed
Library
Learning
Discuss
Leaderboard
Journal
Dr Vijay Sharma
almost 7 years ago
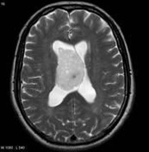
What is it
Please diagnosis
Medstudent
Anatomy
Doctor
Mbbs
Neurology
show 3 more
9
2
2
Other comments
Sign in
to post comments. You don't have an account?
Sign up now!
AA
Ahmed Alshammari
almost 7 years ago
Acute bleeding ?
0
Reply
Dr. Fatemeh Kourkinejad
almost 7 years ago
Epandimoma
0
Reply
Related posts
Effects of sugar on teeth
Scope of practice of NREMT
Suturing
Neurofibromatosis
Brain Blood Supply
Anatomy of Oral Cavity
Absence seizures
Symptoms of absence seizures
Neck Muscles
Recent MCQs
Show more MCQs
Recent flashcard sets
Show more flashcards
Feed
Learn
Add
Search
Discuss