Feed
Library
Learning
Discuss
Leaderboard
Journal
Sign in
Login
Sign up
Sign in
Feed
Library
Learning
Discuss
Leaderboard
Journal
Sherry
6 months ago
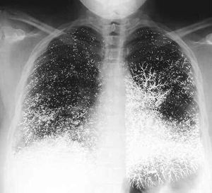
A strange view of the accumulation of mercury in pulmonary blood vessels.
Cxr
Mercury
Plumonary
49
0
23
Other comments
Sign in
to post comments. You don't have an account?
Sign up now!
Related posts
What is the impact of mercury on health ?
X-ray Findings of Pneumothorax
Lung Pathologies on CXR
Toxic form of Mercury
Chest X-ray Interpretation
Identify the Pathology
Hidden Areas in CXR
CXR Interpretation
Mercury Poisoning
CXR Review
Recent MCQs
Show more MCQs
Recent flashcard sets
Show more flashcards
Feed
Learn
Add
Search
Discuss