Feed
Library
Learning
Discuss
Leaderboard
Journal
Sign in
Login
Sign up
Sign in
Feed
Library
Learning
Discuss
Leaderboard
Journal
Sheeza Basharat
about 3 years ago
Identify the Pathology
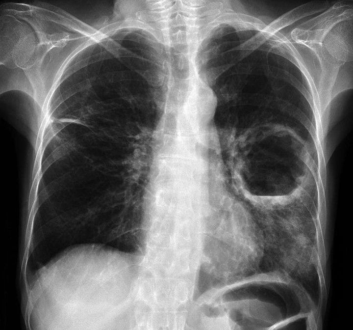
Identify the pathology in the given radiograph.
Learning Materials
Pathology
Radiology
Casestudy
Cxr
0
2
0
Top rated comment
AC
Anish Chaudhuri
about 3 years ago
Scoliosis
1
Reply
Other comments
Sign in
to post comments. You don't have an account?
Sign up now!
anhaarajaz7
about 3 years ago
Can anyone answer it? 😬😬
0
Reply
Related posts
Paget’s disease.
Haemophilia
Bird Beak Sign
Periapical Pathologies
Hemangioma
Erythroplakia
Key Aspects of Cord Prolapse
LipoFit Reviews - Dr Jennifer Ashton's Gelatin Caps for Weight Loss!
MemoMeister Kapseln | Berlin
BurnSlim Official | Support Your Weight Management Journey
Recent MCQs
‌
‌
‌
‌
‌
‌
‌
‌
‌
‌
Show more MCQs
Recent flashcard sets
‌
‌
‌
‌
‌
‌
‌
‌
‌
‌
Show more flashcards
Feed
Learn
Add
Search
Discuss