
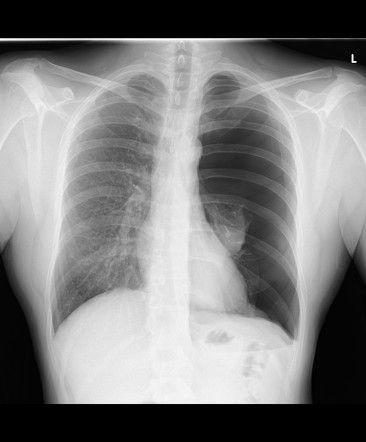
Pneumothorax refers to the abnormal presence of air in the pleural space. The diagnosis is usually clinical based on the status of the patient, However, chest radiograph exhibits characteristic features aiding the diagnosis of pneumothorax. The commonly present features are: - absent lung markings on affected side - radiolucent peripheral space - visible visceral pleural edge - atelectasis may or may not be present - subcutaneous emphysema may or may not be present - shifting of mediastinum Reference: https://radiopaedia.org/articles/pneumothorax Image via: https://radiopaedia.org/articles/pneumothorax
Living with Pulmonary Fibrosis (PF) was one of the hardest experiences of my life. The breathlessness, the fatigue, and the fear of the future weighed on me every single day. I had tried so many treatments and medications, but nothing seemed to stop the disease from progressing.Out of both hope and desperation, I came across NaturePath Herbal Clinic. At first, I was skeptical but something about their natural approach and the stories I read gave me the courage to try one more time.I began their herbal treatment program, and within a few weeks, I noticed small changes easier breathing, more energy, and a clearer mind. Over themonths, those improvements became more and more obvious. Today, I can truly say my life has changed. My lungs feel stronger, and my quality of life has returned in ways I didn’t think were possible.This isn’t just a testimony it’s a heartfelt recommendation to anyone struggling with PF or other chronic conditions. Don’t give up hope. I’m so grateful I gave NaturePath Herbal Clinic a chance. Visit their website to learn more: www.naturepathherbalclinic.com info@naturepathherbalclinic.com