MEDizzy
MEDizzy
Zunaira saleh
Zunaira saleh8 months ago
Marsupialization of cyst

Marsupialization of cyst

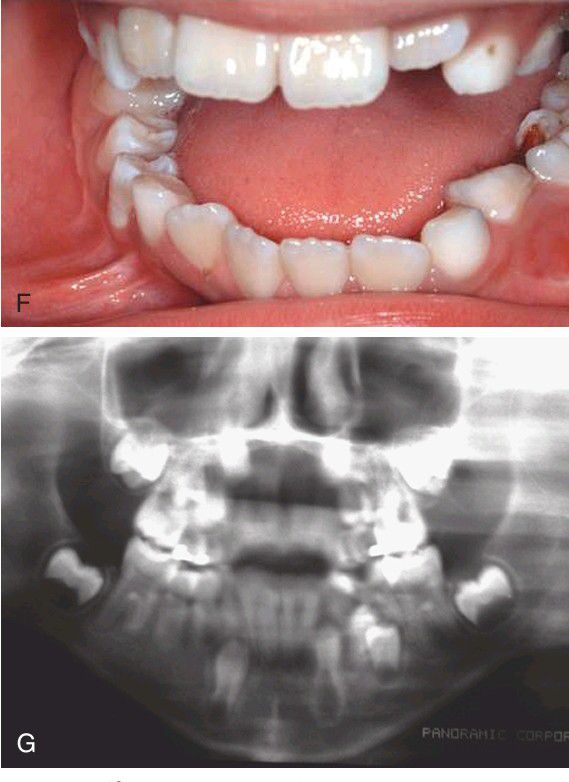
F) Clinical image taken 1 year after surgery. Both premolars have erupted. G) Panoramic radiograph taken at 1 year showing complete fill of the bone defect and eruption of the premolars

0
Other commentsSign in to post comments. You don't have an account? Sign up now!

Recent MCQs















Show more MCQs

Recent flashcard sets















Show more flashcards