MEDizzy
MEDizzy
Zunaira saleh
Zunaira saleh10 months ago
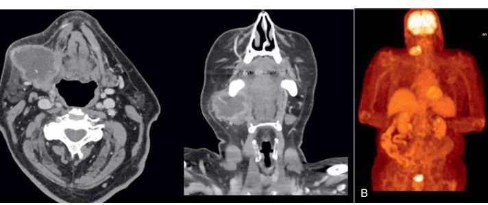
Malignant neoplasm of submandibular gland

Malignant neoplasm of submandibular gland

(A) Computed tomography scan of malignant neoplasm of right submandibular gland. (B) Corresponding fluorodeoxyglucose positron emission tomography scan showing the same malignant neoplasm of right submandibular gland

0
Other commentsSign in to post comments. You don't have an account? Sign up now!

Recent MCQs















Show more MCQs

Recent flashcard sets















Show more flashcards