MEDizzy
MEDizzy
Zunaira saleh
Zunaira saleh9 months ago
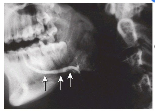
Sialogram

Sialogram

Ductal phase of a submandibular sialogram. Contrast medium is contained only within the main salivary ducts (arrows)

1
Other commentsSign in to post comments. You don't have an account? Sign up now!

Recent MCQs















Show more MCQs

Recent flashcard sets















Show more flashcards