MEDizzy
MEDizzy
Zunaira saleh
Zunaira saleh10 months ago
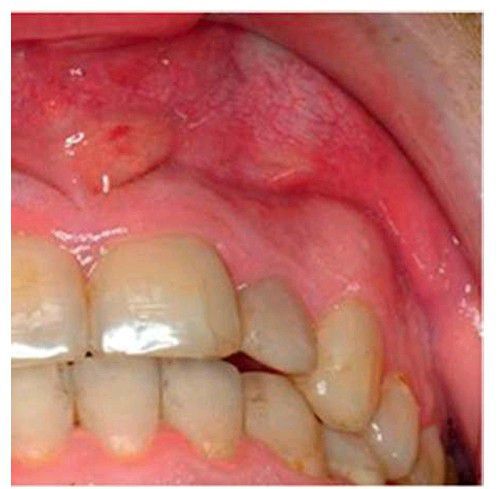
Vestibular space infection

Vestibular space infection

Fluctuant edema and erythema of the maxillary left anterior vestibule associated with necrotic pulp of the maxillary left lateral incisor.

0
Other commentsSign in to post comments. You don't have an account? Sign up now!

Recent MCQs















Show more MCQs

Recent flashcard sets















Show more flashcards