MEDizzy
MEDizzy
Zunaira saleh
Zunaira salehabout 1 year ago
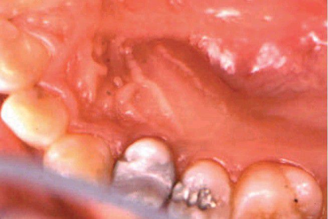
Palatal space infection

Palatal space infection

Fluctuant swelling in the anterior palate associated with periradicular disease from the lingual root of the maxillary first premolar.

0
Other commentsSign in to post comments. You don't have an account? Sign up now!

Recent MCQs















Show more MCQs

Recent flashcard sets















Show more flashcards