
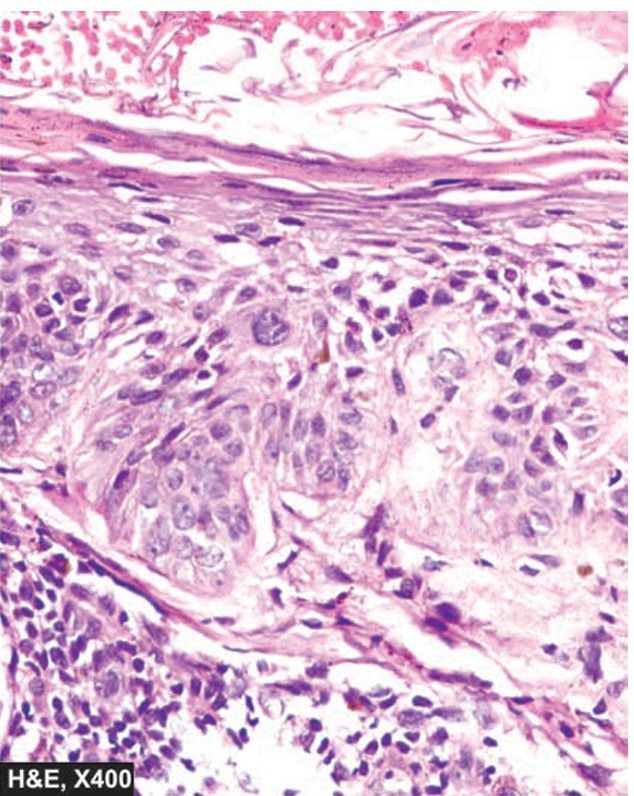
. The epidermis is thick with loss of rete ridges but the normal base to surface maturation of epidermal layers is effaced. Instead, there are bizarre atypical squamous cells but the border between the epidermis and dermis is intact i.e. the basement membrane is not breached.