MEDizzy
MEDizzy
Zunaira saleh
Zunaira salehabout 1 year ago
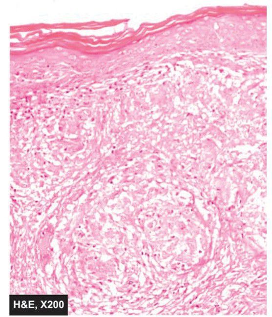
Cutaneous sarcoidosis.

Cutaneous sarcoidosis.

The dermis shows noncaseating epithelioid granulomas having Langhans’ giant cells and paucity of lymphocytes, termed as naked granulomas

0
Other commentsSign in to post comments. You don't have an account? Sign up now!

Recent MCQs















Show more MCQs

Recent flashcard sets















Show more flashcards