Feed
Library
Learning
Discuss
Leaderboard
Journal
Sign in
Login
Sign up
Sign in
Feed
Library
Learning
Discuss
Leaderboard
Journal
Zunaira saleh
about 1 year ago
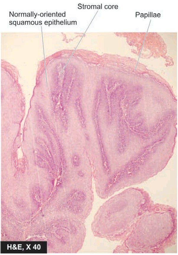
Squamous cell papilloma.
There is papillomatosis; papillae are covered with well oriented and orderly layers of squamous
Histology
Cell
Squamous
Papilloma
0
0
0
Other comments
Sign in
to post comments. You don't have an account?
Sign up now!
Related posts
Caries of dentine
A translucent zone
Parts of Plant Cells
Gingival fibromatosis.
Gingival fibromatosis
Dentigerous cyst.
Dentigerous cyst.
Oral papilloma
Peripheral giant cell granuloma
Peripheral giant cell granuloma
Recent MCQs
Show more MCQs
Recent flashcard sets
Show more flashcards
Feed
Learn
Add
Search
Discuss