MEDizzy
MEDizzy
Farid_khateri
Farid_khateriabout 7 years ago
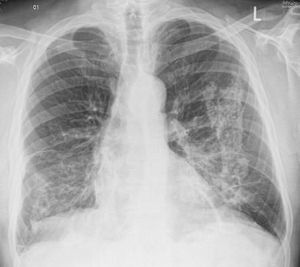
The above CXR refers to which occupational lung disease??

The above CXR refers to which occupational lung disease??

1.silicosis 2.pneumoconiosis 3.asbestosis 4.chronic Beryllium disease

5
Top rated comment
about 7 years ago

Asbestosis

Other commentsSign in to post comments. You don't have an account? Sign up now!
about 7 years ago

In my opinion - Pneumocoinosis

about 7 years ago

No!

almost 7 years ago

??

Recent MCQs















Show more MCQs

Recent flashcard sets















Show more flashcards