MEDizzy
MEDizzy
Zunaira saleh
Zunaira salehabout 1 year ago
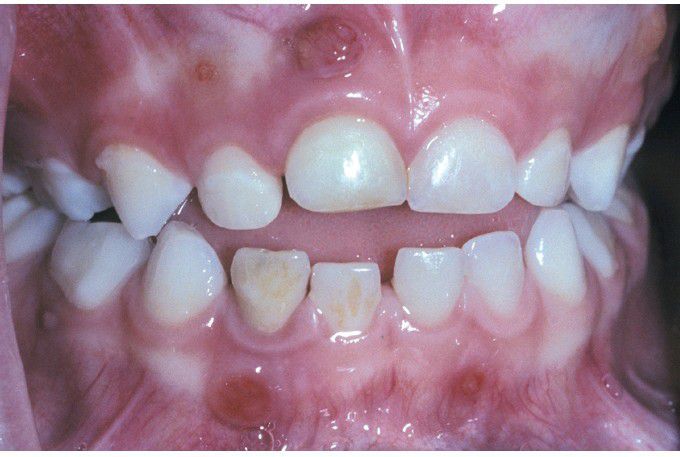
Vitamin D–Resistant Rickets.

Vitamin D–Resistant Rickets.

 This patient exhibits multiple nonvital teeth with associated parulides. This arose in the absence of caries or trauma. 

0
Other commentsSign in to post comments. You don't have an account? Sign up now!

Recent MCQs















Show more MCQs

Recent flashcard sets















Show more flashcards