Feed
Library
Learning
Discuss
Leaderboard
Journal
Sign in
Login
Sign up
Sign in
Feed
Library
Learning
Discuss
Leaderboard
Journal
Zunaira saleh
over 1 year ago
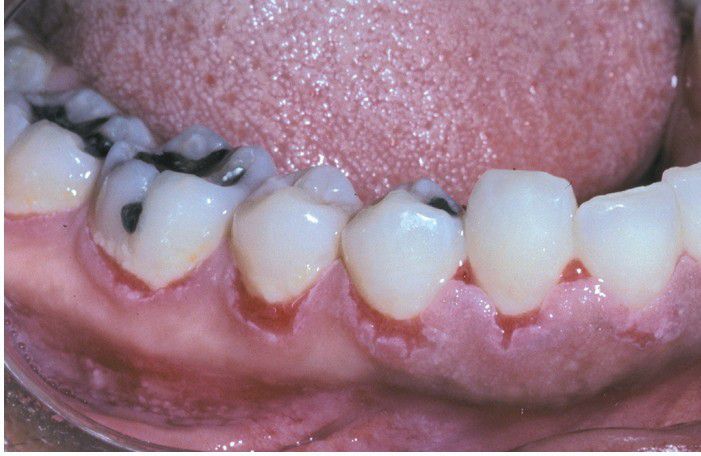
Pemphigus Vulgaris.
Multiple erosions affecting the marginal gingiva.
Gingiva
Pemphigus
Vulgaris
0
0
0
Other comments
Sign in
to post comments. You don't have an account?
Sign up now!
Related posts
Pemphigus vulgaris.
Gingival sulcus and epithelial attachment
The strength of the epithelial attachment
Pemphigus vulgaris.
Fibroma
Fibromatosis
Fibromatosis gingiva
Cyclosporine induced gingival enlargement
https://www.facebook.com/BiomaProbioticsPage/
Ozalyn
Recent MCQs
Show more MCQs
Recent flashcard sets
Show more flashcards
Feed
Learn
Add
Search
Discuss