Feed
Library
Learning
Discuss
Leaderboard
Journal
Sign in
Login
Sign up
Sign in
Feed
Library
Learning
Discuss
Leaderboard
Journal
Zunaira saleh
about 1 year ago
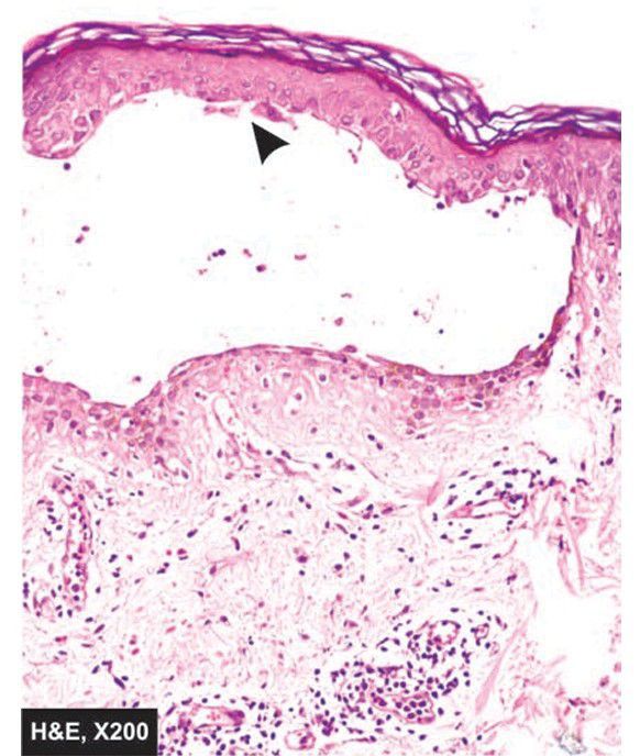
Pemphigus vulgaris.
An intraepidermal bulla in suprabasal location containing acantholytic cells (arrow) is seen.
Histology
Pemphigus
Vulgaris
0
0
0
Other comments
Sign in
to post comments. You don't have an account?
Sign up now!
Related posts
Shell tooth.
Early interproximal caries.
Early interproximal caries
Caries of dentine
A translucent zone
Gingival fibromatosis.
Gingival fibromatosis
Dentigerous cyst.
Dentigerous cyst.
Pemphigus vulgaris.
Recent MCQs
Show more MCQs
Recent flashcard sets
Show more flashcards
Feed
Learn
Add
Search
Discuss