Feed
Library
Learning
Discuss
Leaderboard
Journal
Sign in
Login
Sign up
Sign in
Feed
Library
Learning
Discuss
Leaderboard
Journal
Zunaira saleh
about 1 year ago
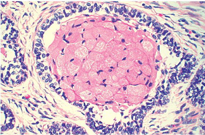
Ameloblastoma (Granular Cell Variant).
Tumor island exhibiting central cells with prominent granular cytoplasm.
Histopathology
Ameloblastoma
Variant
0
0
0
Other comments
Sign in
to post comments. You don't have an account?
Sign up now!
Related posts
Ameloblastic Fibro-Odontoma
Ameloblastic Fibrosarcoma
Odontogenic Fibroma (WHO Type) with Associated Giant Cell Granuloma.
Abscess
Ameloblastoma
Adenoma
Ameloblastoma
Ameloblastoma
Unicystic presentation of ameloblastoma
Unicystic ameloblastoma
Recent MCQs
Show more MCQs
Recent flashcard sets
Show more flashcards
Feed
Learn
Add
Search
Discuss