MEDizzy
MEDizzy
Zunaira saleh
Zunaira salehabout 1 year ago
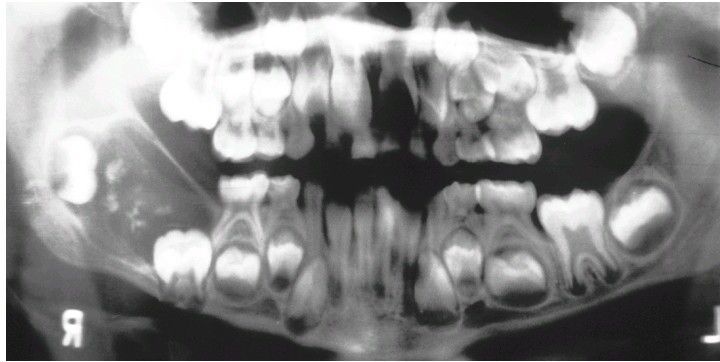
Ameloblastic Fibro-Odontoma

Ameloblastic Fibro-Odontoma

. Radiolucent defect in the ramus containing small calcifications having the radiodensity of tooth structure. 

0
Other commentsSign in to post comments. You don't have an account? Sign up now!

Recent MCQs















Show more MCQs

Recent flashcard sets















Show more flashcards