Feed
Library
Learning
Discuss
Leaderboard
Journal
Sign in
Login
Sign up
Sign in
Feed
Library
Learning
Discuss
Leaderboard
Journal
Zunaira saleh
about 1 year ago
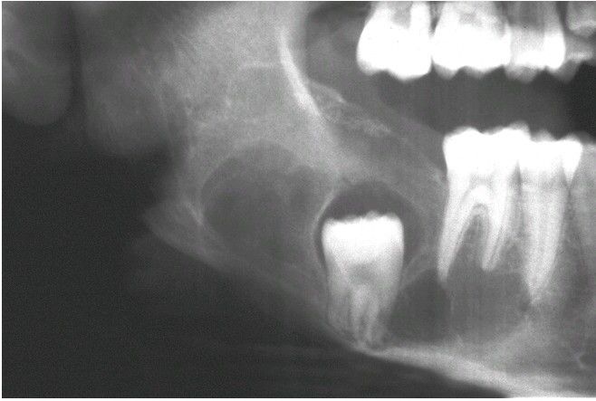
Ameloblastic Fibroma
Multilocular radiolucent defect associated with an unerupted second molar.
Radiology
Ameloblastoma
Fibroma
0
0
0
Other comments
Sign in
to post comments. You don't have an account?
Sign up now!
Related posts
How to Read MRI I
How to Read MRI II
Ameloblastoma
Basic Brainstem Radiology
Spine Radiology I
Spine Radiology II
Ameloblastoma
Unicystic presentation of ameloblastoma
Unicystic ameloblastoma
Fibroma
Recent MCQs
Show more MCQs
Recent flashcard sets
Show more flashcards
Feed
Learn
Add
Search
Discuss