Feed
Library
Learning
Discuss
Leaderboard
Journal
Sign in
Login
Sign up
Sign in
Feed
Library
Learning
Discuss
Leaderboard
Journal
Zunaira saleh
about 1 year ago
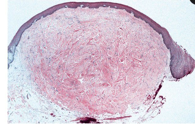
Fibroma histopathology
. Low-power view showing an exophytic nodular mass of dense fibrous connective tissue.
Histopathology
Nodule
Fibroma
0
0
0
Other comments
Sign in
to post comments. You don't have an account?
Sign up now!
Related posts
Odontogenic Fibroma (WHO Type) with Associated Giant Cell Granuloma.
Peripheral Odontogenic Fibroma
Abscess
Laryngeal nodule.
Ameloblastoma
Adenoma
Nodular enlargement of the prostate.
Nodular hyperplasia of the prostate.
Fibroma of the oral cavity.
Fibroma
Recent MCQs
Show more MCQs
Recent flashcard sets
Show more flashcards
Feed
Learn
Add
Search
Discuss