Feed
Library
Learning
Discuss
Leaderboard
Journal
Sign in
Login
Sign up
Sign in
Feed
Library
Learning
Discuss
Leaderboard
Journal
Zunaira saleh
about 1 year ago
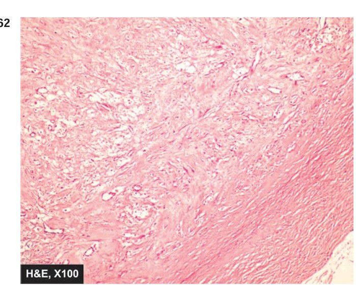
Fibroma of the oral cavity.
The circumscribed lesion is composed of mature collagenised fibrous connective tissu
Histology
Oral
Cavity
Fibroma
0
0
0
Other comments
Sign in
to post comments. You don't have an account?
Sign up now!
Related posts
Hyperparathyroidism
Pagets disease
Oral carcinoma
Racial pigmentation
Localised oral purpura
Oral papilloma
Fibroma
Poor oral hygiene indicators
Hemangioma
Erythroplakia
Recent MCQs
Show more MCQs
Recent flashcard sets
Show more flashcards
Feed
Learn
Add
Search
Discuss