Feed
Library
Learning
Discuss
Leaderboard
Journal
Sign in
Login
Sign up
Sign in
Feed
Library
Learning
Discuss
Leaderboard
Journal
Dr Vijay Sharma
over 7 years ago
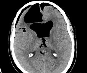
What are you think place
What is diagnosis
Anatomy
Doctor
Mbbs
Neurology
Radiology
show 3 more
24
3
12
Other comments
Sign in
to post comments. You don't have an account?
Sign up now!
Dr. Fatemeh Kourkinejad
over 7 years ago
Post - brain mass neurosurgery Hydrocephalous?
0
Reply
Luciane Gutierrez
over 7 years ago
Air in the brain
0
Reply
Rakesh it's me
over 7 years ago
Air
0
Reply
Related posts
Neurofibromatosis
Brain Blood Supply
Anatomy of Oral Cavity
Absence seizures
Symptoms of absence seizures
Neck Muscles
https://www.facebook.com/PrimalTRTOfficial/
FlexiLeaf
https://www.facebook.com/HumeHealthBodyPodOfficial/
Recent MCQs
Show more MCQs
Recent flashcard sets
Show more flashcards
Feed
Learn
Add
Search
Discuss