Feed
Library
Learning
Discuss
Leaderboard
Journal
Sign in
Login
Sign up
Sign in
Feed
Library
Learning
Discuss
Leaderboard
Journal
Zunaira saleh
over 1 year ago
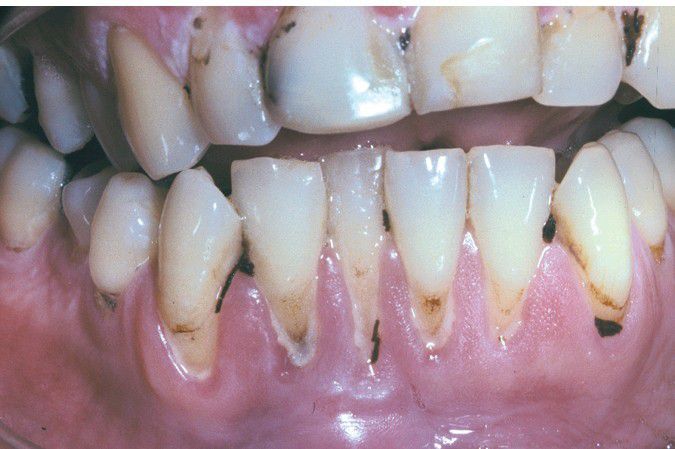
Smokeless Tobacco–related Gingival Recession
. Extensive recession of the anterior mandibular facial gingiva.
Gingiva
Tobacco
Recession
0
0
1
Other comments
Sign in
to post comments. You don't have an account?
Sign up now!
Related posts
Tobacco And Oral Cancer
Gingival sulcus and epithelial attachment
The strength of the epithelial attachment
Periodontitis with recession.
Fibroma
Fibromatosis
Fibromatosis gingiva
Cyclosporine induced gingival enlargement
https://www.facebook.com/BiomaProbioticsPage/
Ozalyn
Recent MCQs
Show more MCQs
Recent flashcard sets
Show more flashcards
Feed
Learn
Add
Search
Discuss