MEDizzy
MEDizzy
Zunaira saleh
Zunaira salehover 1 year ago
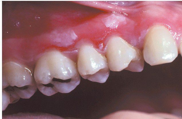
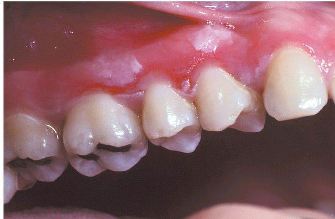
Hydrogen Peroxide Burn.

Hydrogen Peroxide Burn.

 Extensive epithelial necrosis of the anterior maxillary gingiva secondary to interproximal placement of hydrogen peroxide with cotton swabs. 

0
Other commentsSign in to post comments. You don't have an account? Sign up now!

Recent MCQs















Show more MCQs

Recent flashcard sets















Show more flashcards