Feed
Library
Learning
Discuss
Leaderboard
Journal
Sign in
Login
Sign up
Sign in
Feed
Library
Learning
Discuss
Leaderboard
Journal
Zunaira saleh
about 1 year ago
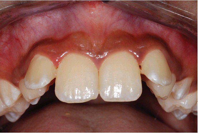
Addison Disease.
Diffuse pigmentation of the maxillary facial gingiva in a patient with Addison disease.
Disease
Gingiva
Addison
0
0
0
Other comments
Sign in
to post comments. You don't have an account?
Sign up now!
Related posts
Gingival sulcus and epithelial attachment
The strength of the epithelial attachment
Pagets disease
Paget’s disease.
Paget’s disease of bone
Pagets disease
Fibroma
Addison's Disease
Fibromatosis
Fibromatosis gingiva
Recent MCQs
Show more MCQs
Recent flashcard sets
Show more flashcards
Feed
Learn
Add
Search
Discuss