Feed
Library
Learning
Discuss
Leaderboard
Journal
Sign in
Login
Sign up
Sign in
Feed
Library
Learning
Discuss
Leaderboard
Journal
Sheeza Basharat
over 1 year ago
Diagnose It
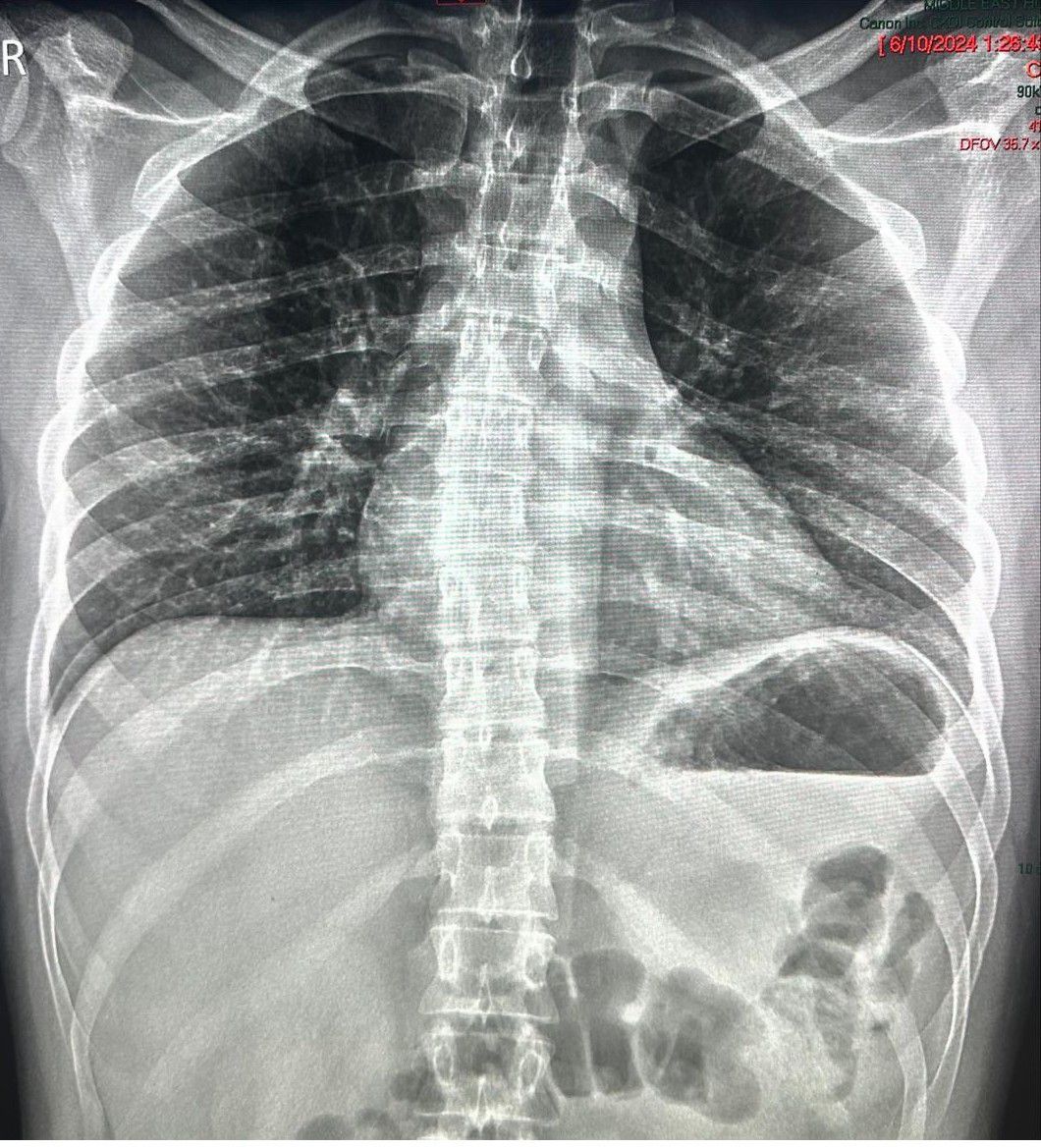
Diagnose the case with the given radiological presentation.
General
Learning Materials
Diagnosis
0
0
0
Other comments
Sign in
to post comments. You don't have an account?
Sign up now!
Related posts
Atrial Septal Defect
Atrial Septal Defect- Diagnosis
Cat Bite Abscess
Dog Bite Levels
Dog Bite Categories
Rabies
Syphilitic Gumma
Epidermolysis Bullosa
Epidermolysis Bullosa-Treatment
Acromegaly - Treatment
Recent MCQs
Show more MCQs
Recent flashcard sets
Show more flashcards
Feed
Learn
Add
Search
Discuss