MEDizzy
MEDizzy
Zunaira saleh
Zunaira salehalmost 2 years ago
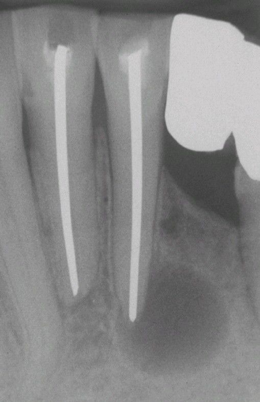
Periapical Cyst

Periapical Cyst

. Well-circumscribed radiolucency intimately associated with the apex of the mandibular central incisor. Note the loss of lamina dura in the area of the lesion. 

0
Other commentsSign in to post comments. You don't have an account? Sign up now!

Recent MCQs















Show more MCQs

Recent flashcard sets















Show more flashcards