Feed
Library
Learning
Discuss
Leaderboard
Journal
Sign in
Login
Sign up
Sign in
Feed
Library
Learning
Discuss
Leaderboard
Journal
Zunaira saleh
over 1 year ago
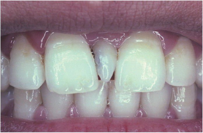
Mesiodens
Erupted supernumerary, rudimentary tooth of the anterior maxilla
Teeth
Supernumerary
Mesiodens
0
0
0
Other comments
Sign in
to post comments. You don't have an account?
Sign up now!
Related posts
Anatomy of upper second molar roots
Anatomy of upper first molar roots
Anatomy of upper third molar roots
Maxillary canine root
Forceps for Mandibular Teeth
Coronal displacement of teeth
Natural Vs Artificial Teeth
Peg shaped or conical teeth
Supernumerary teeth
Non vital incisor teeth
Recent MCQs
Show more MCQs
Recent flashcard sets
Show more flashcards
Feed
Learn
Add
Search
Discuss