Feed
Library
Learning
Discuss
Leaderboard
Journal
Sign in
Login
Sign up
Sign in
Feed
Library
Learning
Discuss
Leaderboard
Journal
Zunaira saleh
almost 2 years ago
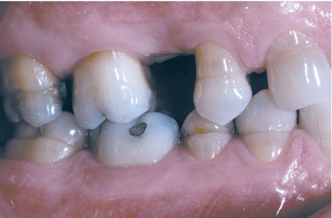
Environmental enamel hypoplasia
Horizontal enamel hypoplasia of the bicuspids and second molars. Note sparing of the f irst molars.
Oralpathology
Enamel
Hypoplasia
0
0
0
Other comments
Sign in
to post comments. You don't have an account?
Sign up now!
Related posts
Cementoma
Enamel microstructure
Etching enamel.
History of present complaint
Deceptive normal variant
Deceptive normal variant
Chronological hypoplasia
Flouride mottling
Enamel pearl
Chalky enamel
Recent MCQs
Show more MCQs
Recent flashcard sets
Show more flashcards
Feed
Learn
Add
Search
Discuss