MEDizzy
MEDizzy
Zunaira saleh
Zunaira saleh10 months ago
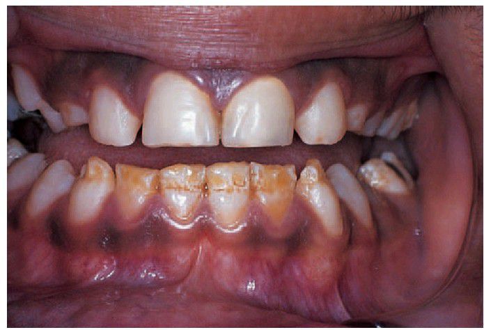
Chronological hypoplasia

Chronological hypoplasia

Chronological hypoplasia due to metabolic upset. Unlike the hereditary types of amelogenesis imperfecta, defects are linear and thought to correspond to a short period of amelogenesis disturbed by a concurrent severe illness.

0
Other commentsSign in to post comments. You don't have an account? Sign up now!

Recent MCQs















Show more MCQs

Recent flashcard sets















Show more flashcards