Feed
Library
Learning
Discuss
Leaderboard
Journal
Sign in
Login
Sign up
Sign in
Feed
Library
Learning
Discuss
Leaderboard
Journal
Zunaira saleh
over 1 year ago
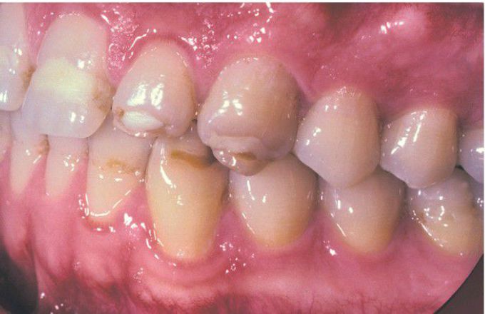
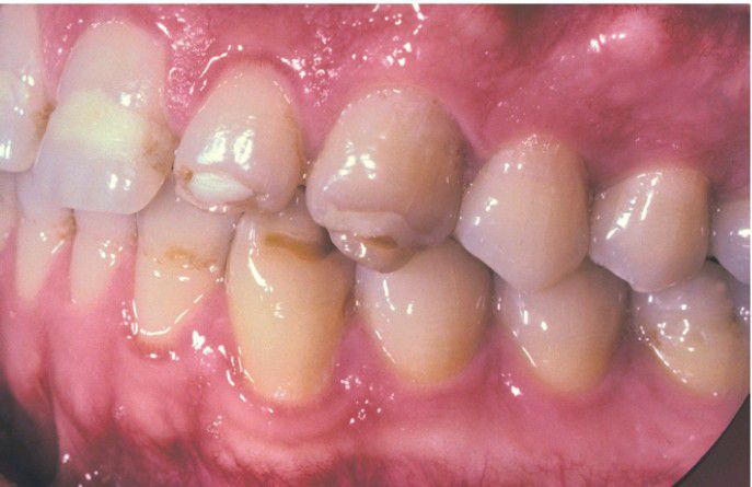
Environmental enamel hypoplasia
Bilaterally symmetrical pattern of horizontal enamel hypoplasia of the anterior dentition.
Oral Pathology
Enamel
Hypoplasia
0
0
0
Other comments
Sign in
to post comments. You don't have an account?
Sign up now!
Related posts
symptoms of a cracked tooth
Enamel microstructure
Etching enamel.
Mucositis
what causes mucositis
Chronological hypoplasia
Flouride mottling
Enamel pearl
Chalky enamel
Complications of xerostomia
Recent MCQs
Show more MCQs
Recent flashcard sets
Show more flashcards
Feed
Learn
Add
Search
Discuss