MEDizzy
MEDizzy
Zunaira saleh
Zunaira salehover 1 year ago
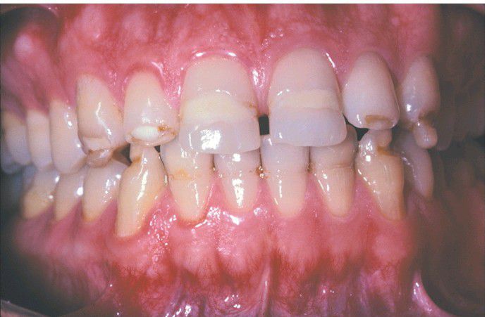
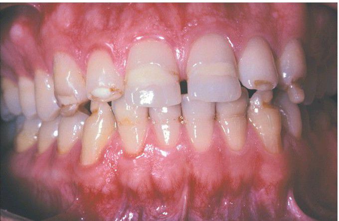
Environmental enamel hypoplasia

Environmental enamel hypoplasia

Bilaterally symmetrical pattern of horizontal enamel hypoplasia of the anterior dentition. Maxillary central incisors have been restored previously

0
Other commentsSign in to post comments. You don't have an account? Sign up now!

Recent MCQs















Show more MCQs

Recent flashcard sets















Show more flashcards