Feed
Library
Learning
Discuss
Leaderboard
Journal
Sign in
Login
Sign up
Sign in
Feed
Library
Learning
Discuss
Leaderboard
Journal
Med_students0
about 7 years ago
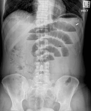
Intestinal obstruction
Medicine
Surgery
Radiology
22
1
10
Top rated comment
oumersi
about 7 years ago
different height of air fluid level in the same loop of small intestine
0
Reply
Other comments
Sign in
to post comments. You don't have an account?
Sign up now!
Related posts
Endotracheal Intubation
Causes of lump in armpit
Lipoma
Neurofibromatosis
Surgical process for apicoectomy
Surgical process for apicoectomy
Surgical process for apicoectomy
Condylectomy
Tmj ankylosis grading
Condylectomy
Recent MCQs
Show more MCQs
Recent flashcard sets
Show more flashcards
Feed
Learn
Add
Search
Discuss