MEDizzy
MEDizzy
Hunain
Hunainover 1 year ago
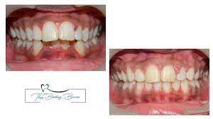
Sunday bite

Sunday bite

Patient with class II malocclusion trying to bring mandible in forward direction habitually is known as 'Sunday bite' while class III moving mandible forward creating reverse overjet will be known as 'pseudo class III' malocclusion.

0
Other commentsSign in to post comments. You don't have an account? Sign up now!

Recent MCQs















Show more MCQs

Recent flashcard sets















Show more flashcards